User Profile
User Avatar

Papadent

Total Videos: 4

Playlists

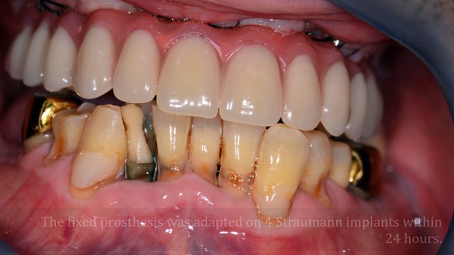
Implantation with Straumann implants

Uploaded: February 28, 2017 Views: 13

Computed tomography for dental implantation

Uploaded: February 28, 2017 Views: 5

Dantų protezavimas. Dental prosthesis.

Uploaded: February 28, 2017 Views: 15
Your Page Title