Orthodontists Dallas Jan2014

Orthodontists Dallas Jan2014

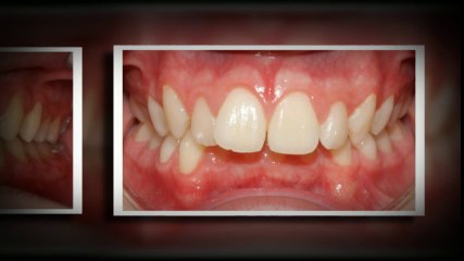
Dallas Orthodontics treatment is about getting the right care at the right time in the most efficient, comfortable, and rewarding way possible.


User: Jack Gonzaga

Views: 1

Uploaded: 2014-02-24

Duration: 06:23