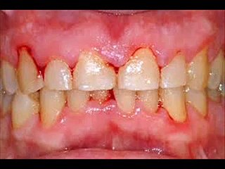
Kid's deciduous teeth need care,follow some easy steps

Kid's deciduous teeth need care,follow some easy steps


User: Desitube TV

Views: 35

Uploaded: 2014-03-19

Duration: 00:54

Your Page Title