Cosmetic Dentistry And Types Of Treatments

Cosmetic Dentistry And Types Of Treatments

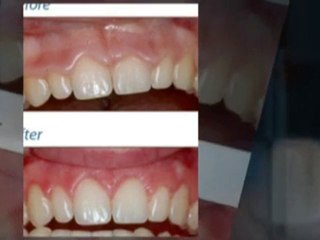
Know about what is cosmetic dentistry and what are the different types of cosmetic treatments are used in cosmetic dentistry to treat different dental br br diseases.


User: Landrydenver

Views: 8

Uploaded: 2014-10-09

Duration: 00:35

Your Page Title