Qbit Cardiac Sonography / Chison Q9 / Phased Array Probe

Qbit Cardiac Sonography / Chison Q9 / Phased Array Probe

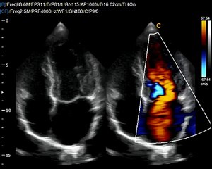
Chison Q9 Cardiac Sonography with phased array probe. The color doppler Q9 machine is affordable and masterfully designed. Can be used in all examinations.


User: Keebomed

Views: 54

Uploaded: 2015-01-30

Duration: 00:18

Your Page Title