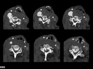
Flexion de C1 pendant rotation RCS

Flexion de C1 pendant rotation RCS

Cette vidéo représente la flexion en 2 temps de l'atlas au cours d'une rotation du rachis cervical supérieur.


User: Pascal bernard

Views: 884

Uploaded: 2007-07-03

Duration: 00:10

Your Page Title