Dental Tooth Color Filling Treatment in Andheri

Dental Tooth Color Filling Treatment in Andheri

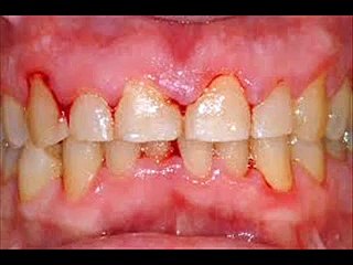
The Teeth Color Filling that the dentist uses is composed with durable composite resin. It can be molded that will actually bond with to the tooth it fills. Your teeth are later filled and will be sealed with a dental sealant. The procedure will give you result that you will want without that noticeable silver amalgam. br br You can visit- br br br br Our Center Alluremedspa provides a wide array of dental services to meet your needs, all in one convenient location. Our services include Cosmetic Smile Makeover programme which includes: br br Dental Treatments- br Teeth Whitening br Dental veneers br Enameloplasty br Dental implants br Tooth colored filling br Tooth jewellery br Gum contouring br Gum Striping br Crowns bridges and Dentures br Tooth Cleaning br Teeth Polishing br br Endodontic Treatments- br Root canal br Dental post and core br br Full Mouth Rehabilitation- br br Orthodontics Treatment- br Invisible Braces br Metal Braces br Ceramic Braces br br Oral and Maxillofacial Surgery- br Ridge Correction br Jaw Correction br Tooth removal br br Our dentists earn patients trust to address all aspects of their dental health, and that trust now extends to orthodontia for a growing number of her families.


User: Alluremedspa

Views: 137

Uploaded: 2015-02-11

Duration: 02:05

Your Page Title