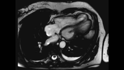
Video 2. Biventricular Broken Heart (Takotsubo Cardiomyopathy) in a Middle Aged Adult

Video 2. Biventricular Broken Heart (Takotsubo Cardiomyopathy) in a Middle Aged Adult

Apical ballooning of the left and right ventricles are demonstrated.


User: Dr. Baris Durukan

Views: 47

Uploaded: 2015-03-20

Duration: 00:07

Your Page Title