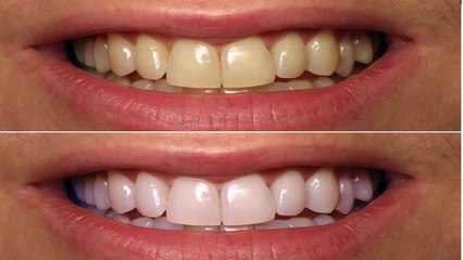
How to Whiten Teeth in 2 Minutes!

How to Whiten Teeth in 2 Minutes!

How to Whiten Teeth in 2 Minutes!


User: fashionindopak

Views: 2.4K

Uploaded: 2015-10-12

Duration: 01:41

Your Page Title