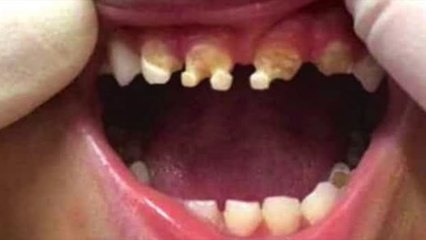
Les dents de cet enfants sont dans un état déplorable...la cause en est stupéfiante

Les dents de cet enfants sont dans un état déplorable...la cause en est stupéfiante


User: Minuteviral

Views: 3

Uploaded: 2016-04-25

Duration: 01:05

Your Page Title