RCS doesn't welcome rationing of hip and knee replacements

RCS doesn't welcome rationing of hip and knee replacements

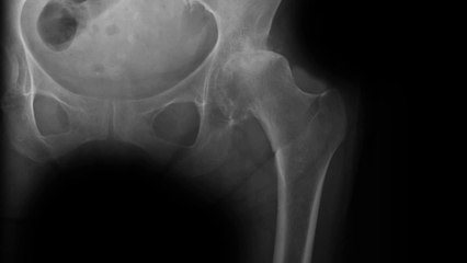
The Royal College of Surgeons does not welcome NHS plans to ration hip and knee replacements. Report by Duffys.


User: ODN

Views: 9

Uploaded: 2017-01-27

Duration: 01:28

Your Page Title