Bend Cosmetic Dentist - Cornerstone Family Dentistry (541) 389-2885

Bend Cosmetic Dentist - Cornerstone Family Dentistry (541) 389-2885

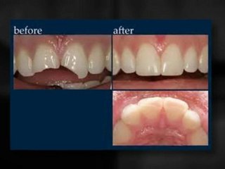
Cornerstone Family Dentistry br 1470 SW Knoll Avenue Suite 103 br Bend, Oregon 97702 br (541) 389-2885 br br


User: Cornerstone Family Dentistry

Views: 2

Uploaded: 2017-05-11

Duration: 00:33