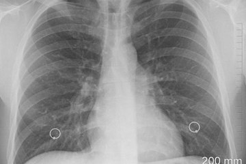
#ممكن | د.حسام عبدالغفار : وفاة 4 أطفال بسبب الإلتهاب الرئوي

#ممكن | د.حسام عبدالغفار : وفاة 4 أطفال بسبب الإلتهاب الرئوي

Join and Follow us on :br website : and Follow us on :br website : YouTube : Facebook : Instagram : Google+: Twitter : #CBCEgy | #ممكن br CBC - ممكن | #خيريرمضان | 5- 12- 2014#br #ممكن | د.


User: CBC Egypt

Views: 2

Uploaded: 2017-05-19

Duration: 02:42

Your Page Title