What do you do when your gums are bleeding?

What do you do when your gums are bleeding?

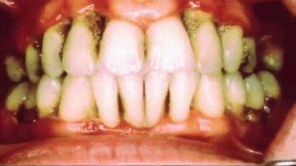
The best way to reduce plaque buildup and your risk for bleeding gums is to amp up your oral care routine. Remember to brush twice a day using a fluoride toothpaste. Floss at least once a day as well; gums can sometimes stop bleeding with regular flossing.


User: MyParthaDental

Views: 4

Uploaded: 2017-12-28

Duration: 20:18

Your Page Title