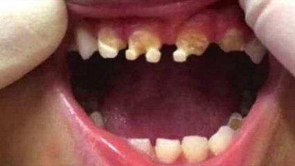
McDonalds : Un homme retrouve des morceaux de dents dans son sandwich

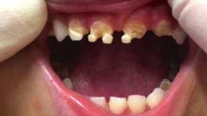
McDonalds : Un homme retrouve des morceaux de dents dans son sandwich


User: GossipRoom

Views: 160

Uploaded: 2019-03-18

Duration: 00:39

Your Page Title