Operación pionera a un joven en Málaga para extirparle un tumor cerebral que le provocaba epilepsia

Operación pionera a un joven en Málaga para extirparle un tumor cerebral que le provocaba epilepsia

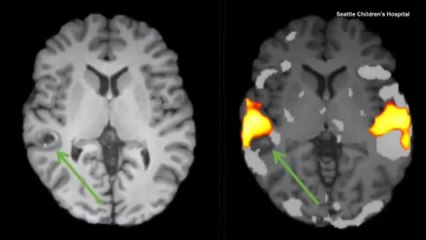
Le trasladaron el área del lenguaje del hemisferio izquierdo del cerebro, al derecho


User: Publico

Views: 1

Uploaded: 2019-06-18

Duration: 00:57

Your Page Title