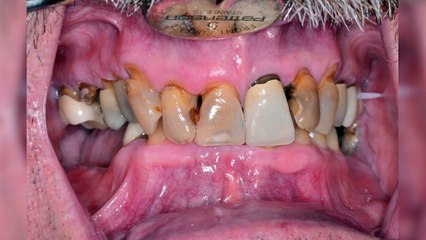
TEETH PAIN

TEETH PAIN

دانت درد کا بہترین علاج


User: SAAFI CHANNEL

Views: 13

Uploaded: 2019-07-31

Duration: 09:16

Your Page Title