Too Much Napping Could Be Linked to Alzheimer's Disease

Too Much Napping Could Be Linked to Alzheimer's Disease

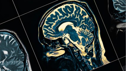
Too Much Napping Could Be br Linked to Alzheimer's Disease A new study has found a connection betweenbr increased daytime tiredness and early signsbr of the memory-loss health issue. The analysis can be found in 'Alzheimer's & Dementia: Journal of the Alzheimer's Association.' For their study, researchersbr observed 13 brains from peoplebr who died with Alzheimer's. Against seven other brains without the disease, br they found that organ parts which keep br us awake during the day were weaker. Scientists say they are still unclear on the lengthbr of time between increased daytime sleepiness br and the onset of Alzheimer's disease. They concluded that morebr studies on the link needbr to be conducted.


User: Wibbitz Top Stories

Views: 49

Uploaded: 2019-08-23

Duration: 01:02

Your Page Title