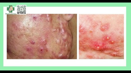
Cách trị mụn bằng rau diếp cá siêu hiệu quả

Cách trị mụn bằng rau diếp cá siêu hiệu quả

Để rau diếp cá tươi sống sẽ khó bảo quản được lâu và mất dần chất dinh dưỡng. Chính vì vậy, rau diếp cá được điều chế ở dạng bột nguyên chất vừa tiện lợi vừa bao quản lâu hơn.


User: Beautynow - Sakura - DECUMAR PURE

Views: 1

Uploaded: 2019-12-13

Duration: 05:42

Your Page Title