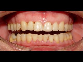
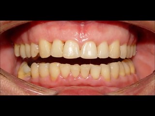
ADULT BRACES TREATMENT ,CROOKED ,OVERJET, OVERBITE ,BRACES BEFORE AFTER

ADULT BRACES TREATMENT ,CROOKED ,OVERJET, OVERBITE ,BRACES BEFORE AFTER