Afectación cerebral, otro daño colateral en pacientes Covid-19

Afectación cerebral, otro daño colateral en pacientes Covid-19

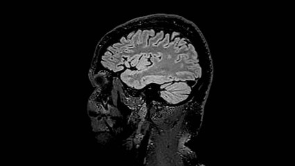
La neumonía es una de las principales complicaciones del COVID-19 pero, aunque es considerada una afección respiratoria, el SARS-CoV-2 también tiene otras complicaciones asociadas como al afectación cerebral.


User: MVS Noticias

Views: 286

Uploaded: 2020-07-14

Duration: 03:19

Your Page Title