What Is Chronic Myeloid Leukemia (CML)

What Is Chronic Myeloid Leukemia (CML)

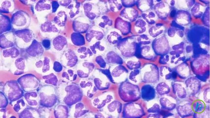
What Is Chronic Myeloid Leukemia?br Cancer starts when cells in the body start to grow out of control. Cells in nearly any part of the body can become cancer, and can spread to other parts of the body. To learn more about how cancers start and spread, see What Is Cancer?br br Chronic myeloid leukemia (CML) is also known as chronic myelogenous leukemia. It's a type of cancer that starts in certain blood-forming cells of the bone marrow.br br In CML, a genetic change takes place in an early (immature) version of myeloid cells -- the cells that make red blood cells, platelets, and most types of white blood cells (except lymphocytes). This change forms an abnormal gene called BCR-ABL, which turns the cell into a CML cell. The leukemia cells grow and divide, building up in the bone marrow and spilling over into the blood. In time, the cells can also settle in other parts of the body, including the spleen. CML is a fairly slow growing leukemia, but it can change into a fast-growing acute leukemia that's hard to treat.br br CML occurs mostly in adults, but very rarely it occurs in children, too. In general, their treatment is the same as for adults.br br What is leukemia?br Leukemia is a cancer that starts in the blood-forming cells of the bone marrow. When one of these cells changes and becomes a leukemia cell, it no longer matures the way it should. Often, it divides to make new cells faster than normal. Leukemia cells also don't die when they should. They build up in the bone marrow and crowd out normal cells. At some point, leukemia cells leave the bone marrow and spill into the bloodstream, often causing the number of white blood cells (WBCs) in the blood to increase. Once in the blood, leukemia cells can spread to other organs, where they can keep other cells in the body from working properly.br br Leukemia is different from other types of cancer that start in organs like the lungs, colon, or breast and then spread to the bone marrow. Cancers that start in another part of the body and then spread to the bone marrow are not leukemia.br br Not all leukemias are the same. Knowing the specific type of leukemia helps doctors better predict each patient's prognosis (outlook) and plan the best treatment.br br What is a chronic leukemia?br A leukemia is acute or chronic depending on whether most of the abnormal cells are immature (and are more like stem cells) or mature (and are more like normal white blood cells).br br In chronic leukemia, the cells mature partly but not completely. These cells may look fairly normal, but they're not. They generally do not fight infection as well as normal white blood cells do. The leukemia cells also live longer than normal cells, build up, and crowd out normal cells in the bone marrow. Chronic leukemias can take a long time before they cause problems, and most people can live for many years. But chronic leukemias are generally harder to cure than acute leukemias.


User: My Cancer Wiki

Views: 5

Uploaded: 2021-01-07

Duration: 04:12