Corona से ठीक हुए लोगों को हो रहा है Avascular Necrosis खतरा, इन उम्र के लोगों को ज्यादा खतरा

Corona से ठीक हुए लोगों को हो रहा है Avascular Necrosis खतरा, इन उम्र के लोगों को ज्यादा खतरा

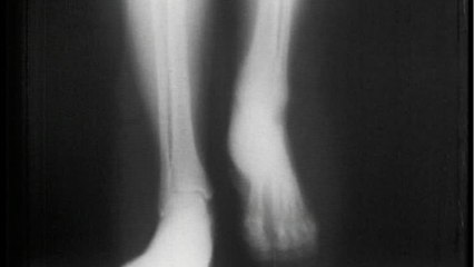
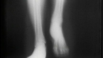
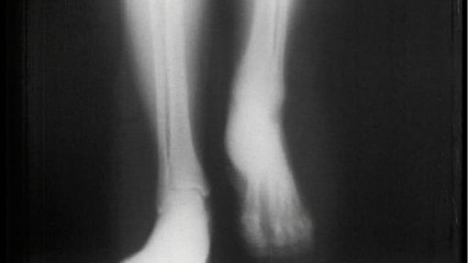
Corona has troubled people a lot. Even after being free from infection, the patients are not recovering completely. They are facing different kinds of problems. Till a few days ago, cases of black fungus were being seen more in patients who were cured of corona and now a new threat is looming on such people, whose name is avascular necrosis. It is also known as 'Death of Bone'. Three cases have been reported in Mumbai. Experts say that this could be the next debilitating condition in patients recovering from corona after the outbreak of mucormycosis.


User: Boldsky

Views: 90

Uploaded: 2021-07-05

Duration: 01:39

Your Page Title