Tras visitar parque acuático, niño muere por "ameba comecerebros" en EU

Tras visitar parque acuático, niño muere por "ameba comecerebros" en EU

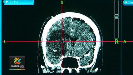
Tras más de 15 días de su infección, se dio a conocer que el menor, de quién no se conoce su identidad, falleció por la ameba comecerebros, que según autoridades, pudo contraer en un parque público br br


User: El Universal

Views: 61

Uploaded: 2021-09-29

Duration: 01:09

Your Page Title