Öksürük şikayetiyle doktora giden hastanın akciğerinden kabak çekirdeği çıktı

Öksürük şikayetiyle doktora giden hastanın akciğerinden kabak çekirdeği çıktı

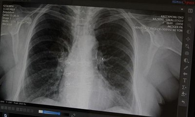
Karabük'te öksürük şikayetiyle hastaneye başvuran bir kadının tomografilerinin çekilmesi sonucu akciğerinde yabancı bir cisme rastlandı. Hemen ameliyata alınan kadının akciğerinden kabak çekirdeği çıkarıldı. Doç. Dr. Murat Acat, "Bana öksürük şikayetiyle geldi. Bronkoskopi yaptım ve yabancı bir cisim gördüm. Sonra biyopsi pensi ile çıkardım. Çıkarınca kabak çekirdeği olduğunu gördük ve çok şaşırdık" dedi. brpBirkaç aydır öksürük şikayeti olan Hatice U. (56), Karabük Üniversitesi Eğitim ve Araştırma Hastanesine başvurdu. Göğüs Hastalıkları Uzmanı Doç. Dr. Murat Acat ve ekibi, çekilen tomografilerde akciğerde yabancı bir cisim bulunduğunu tespit etti.pAKCİĞERİNDEN KABAK ÇEKİRDEĞİ ÇIKTIpHemen ameliyata alınan kadının akciğerinden kabak çekirdeği çıkarıldı. Acat, gazetecilere yaptığı açıklamada, hastanın sağlık durumunun iyi olduğunu belirterek, "Hasta aylar önce kabak çekirdeği yemiş. Bana öksürük şikayetiyle geldi. Akciğer tomografisinde lezyon görünüyordu.


User: Haberler.com

Views: 51

Uploaded: 2021-09-30

Duration: 03:15

Your Page Title