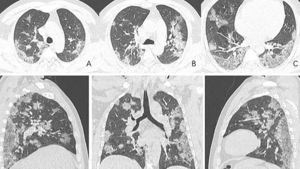
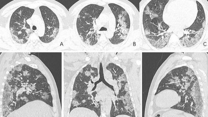
FEMME ACTUELLE -Enrico Macias, touché à son tour par le coronavirus : "Le virus était dans mes poumons"

FEMME ACTUELLE -Enrico Macias, touché à son tour par le coronavirus : "Le virus était dans mes poumons"


User: Femme Actuelle

Views: 775

Uploaded: 2021-12-29

Duration: 01:34

Your Page Title