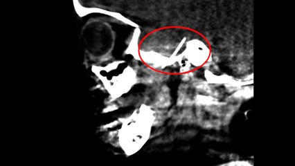
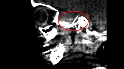
INSN Niño: Médicos intervienen con éxito a niña que tenía una aguja incrustada

INSN Niño: Médicos intervienen con éxito a niña que tenía una aguja incrustada

La menor que vive en la provincia de Pataz, había acudido a una cita con el odontólogo pero en plena intervención hizo un mal movimiento.


User: Panamericana TV

Views: 216

Uploaded: 2022-07-04

Duration: 03:05

Your Page Title