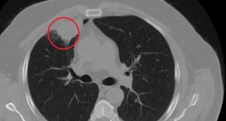
Dünya tıp literatüründe bir ilk: Covid-19, akciğer kanserini taklit etti

Dünya tıp literatüründe bir ilk: Covid-19, akciğer kanserini taklit etti


User: Hürriyet

Views: 9

Uploaded: 2022-10-12

Duration: 04:12