엠폭스, 국내에 퍼졌나...'해외 연관성' 없는 6번째 확진자 / YTN

엠폭스, 국내에 퍼졌나...'해외 연관성' 없는 6번째 확진자 / YTN

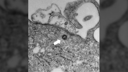
'원숭이두창'으로 알려진 엠폭스의 국내 여섯 번째 확진자가 나왔습니다. br br 해외에 간 적도, 해외에 다녀온 사람과 접촉한 적도 없어 첫 지역감염 사례로 추정됩니다. br br 방역당국이 감염 경로를 찾느라 비상입니다. br br 장아영 기자입니다. br br [기자] br 유럽과 미국을 중심으로 엠폭스가 한창 퍼지던 지난해 6월, 국내에서도 첫 확진자가 나왔습니다. br br [백경란 당시 질병관리청장 (지난해 6월 22일) : 국내에서도 원숭이두창 첫 환자가 발생하였습니다. 1명이라도 국내 확진자가 발생한 경우에는 절차에 따라서 '주의' 단계로 위기를 격상하게 됩니다.] br br 그로부터 열 달 뒤, 처음으로 지역사회 감염 가능성이 제기됐습니다. br br 해외에 간 적도, 해외에서 온 사람과 접촉한 적도 없는 확진자가 나온 겁니다. br br 국내 6번째 환자인 A 씨는 지난달 말 시작된 피부 발진이 낫지 않아 의료기관을 찾았고, 보건소에 엠폭스 감염 의심으로 신고된 끝에 확진 판정을 받았습니다. br br 앞서 국내에서 발생한 확진자 5명은 모두 해외에서 입국한 사람이거나 엠폭스 환자를 치료하던 의료진이었습니다. br br A 씨는 이들과도 연관성이 없는 만큼, 이른바 '숨은 확진자'에게서 병을 얻었을 가능성이 큽니다. br br 질병관리청은 A 씨의 동선과 접촉자를 조사해 국내 감염 경로를 확인하고 혹시 확진자가 더 있는지도 찾고 있습니다. br br [이재갑 한림대 의대 감염내과 교수 : 잠복기가 1~2주 정도 되니까요. 지난달 말이면 이제 접촉자에서 증상이 나타날 수도 있는 상황일 거거든요. 그래서 접촉자들에서 발병했는지 여부도 중요할 것 같고요.] br br 엠폭스는 호흡기 감염병과는 달리 피부나 성적 접촉과 같은 긴밀한 접촉을 통해 옮습니다. br br [이재갑 한림대 의대 감염내과 교수 : 잘 모르는 사람하고 성 접촉 이런 부분, 특히 피부 발진이 있는 분과의 접촉을 최대한 피해 주시는 게 좋고요. 그다음에 원인 모를 발열과 함께 발진이 동반되는 경우에 있어서는 빠른 시간 내에 엠폭스의 가능성이 없는지에 대해서 의료진하고 상담을 빨리 해 주시는 게 좋을 것 같습니다.] br br 전문가들은 최근 일본과 타이완을 비롯한 아시아 국가에서 엠폭스 발병 사례가 늘고 있다며, 지역사회 감염으로 확진자가 급격히 불어난 미국과 유럽의 전철을 밟지 않으려면 초기 역학조사가 중요하다고 강조합니다. br br YTN 장아영입니다. br br br br br ※ '당신의 제보가 ... (중략)br br YTN 장아영 (jay24@ytn.co.kr)br 영상편집 : 서영미br 그래픽 : 홍명화br br ▶ 기사 원문 : ▶ 제보 안내 : , 모바일앱, social@ytn.co.


User: YTN news

Views: 17

Uploaded: 2023-04-08

Duration: 02:23

Your Page Title