'국내 감염' 엠폭스 10명 늘어... 첫 '두 자릿 수' 증가 / YTN

'국내 감염' 엠폭스 10명 늘어... 첫 '두 자릿 수' 증가 / YTN

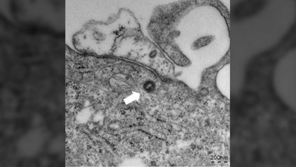
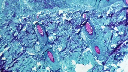
국내 지역사회 감염으로 추정되는 엠폭스 환자가 10명 더 확인됐습니다. br br 주말 사이 처음으로 두 자릿수 확진자 증가를 기록한 데 대해 방역당국은 현재 역량으로 관리 가능하다면서 증상이 있는 경우 적극 검사를 받으라고 당부했습니다. br br 기정훈 기자가 보도합니다. br br [기자] br 주말 사이 엠폭스 환자가 한꺼번에 10명이나 더 늘었습니다. br br 지금까지 누적 30명입니다. br br 지난주 목요일 발표 이후 나흘 만이긴 하지만 한 번에 두 자릿수 확진자 발표는 처음입니다. br br 금요일과 토요일 각각 4명씩, 일요일에 2명이 확진됐는데, 거주지는 서울이 6명으로 가장 많고, 경기 3명, 경북 1명입니다. br br 10명 모두 3주 안에 해외에 다녀온 적이 없고 위험에 노출된 적은 있어서, 국내 감염으로 파악됩니다. br br 대부분 통증을 동반한 피부병변이 있었고 모든 환자가 발진이 있었습니다. br br 이달 들어 꾸준하게 늘고 있지만, 감염 경로가 제한돼 있어 무차별 확산 우려는 크기 않습니다. br br 누적 확진 30명 가운데 27명이 밀접 접촉 감염. br br 즉 피부 접촉이나 성 접촉이 있었다는 얘깁니다. br br 나머지는 환자 접촉 감염 2건, 의료진이 주사침에 찔려 감염된 것 1건 뿐입니다. br br 세계보건기구(WHO)는 지난해 "엠폭스는 제한된 감염경로로 인해 관리가 가능한 질병" 이라고 안내했습니다. br br ## br br 우리 방역당국도 현재 대응 역량으로 충분히 관리 가능하다며, 크게 우려할 필요가 없다는 입장입니다. br br 밀접 접촉으로 전파되는 특성 때문에 코로나19나 메르스처럼 전파될 우려는 적다고 강조합니다. br br [인터뷰 : 이형민 질병관리청 신종감염병대응과장] br br "질병 속성상 통상의 많은 국민에게 만연해 있다기보다는 위험도가 높은 그런 상황에 노출되어 계신 분들 이런 분들 내에서 제한적으로 전파가 될 거라고 그렇게 보고 있습니다. br br 다만 개인 신상의 노출 우려 때문에 숨은 환자가 많을 수 있다는 지적에 대해서는 br br 확진자는 물론 검사를 문의하는 사람에 대해서도 철저하게 개인 정보를 보호하고 있다면서 의심이 되면 주저하지 말고 보건소 등 의료기관을 찾아 진료를 받으라고 당부했습니다. br br YTN 기정훈입니다. br br br br br br br YTN 기정훈 (prodi@ytn.co.kr)br br ※ '당신의 제보가 뉴스가 됩니다' br [카카오톡] YTN 검색해 채널 추가 br [전화] 02-398-8585 br [메일] social@ytn.co.krbr br ▶ 기사 원문 : ▶ 제보 안내 : , 모바일앱, social@ytn.co.


User: YTN news

Views: 31

Uploaded: 2023-04-24

Duration: 02:13

Your Page Title