La esclerosis múltiple es la enfermedad de las mil caras y afecta principalmente a mujeres jóvenes, indicó el neurólogo Christian Bortoluzzi

La esclerosis múltiple es la enfermedad de las mil caras y afecta principalmente a mujeres jóvenes, indicó el neurólogo Christian Bortoluzzi

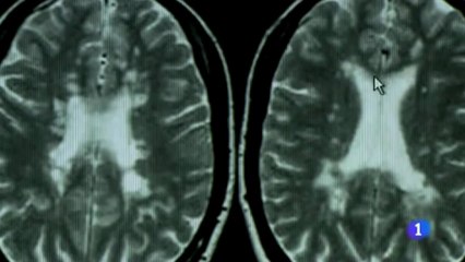
La esclerosis múltiple es una enfermedad crónica del sistema nervioso central que afecta principalmente al cerebro y a la médula espinal. Según el médico neurólogo Christian Bortoluzzi, es conocida como la enfermedad de las mil caras, y afecta principalmente a mujeres de entre 20 y 40 años.br br La esclerosis múltiple es una enfermedad que se caracteriza por afectar la mielina, que son las capas que recubren las células nerviosas, generando episodios de debilidad, pérdida visual, pérdida sensitiva, falta de equilibrio y coordinación motora.


User: Misiones Online

Views: 26

Uploaded: 2023-05-30

Duration: 07:43

Your Page Title