Une vielle dame se plaint de maux de ventre…et les médecins découvrent un foetus momifié dans son corps !

Une vielle dame se plaint de maux de ventre…et les médecins découvrent un foetus momifié dans son corps !

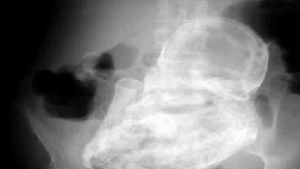
Des médecins mexicains ont été bafoués par la découverte d’un foetus mort à l’intérieur du corps d’une femme de 84 ans qui le portait depuis 40 ans.


User: Bang Bizarre French

Views: 5

Uploaded: 2023-08-23

Duration: 01:12