Estrés: Detonante de trastornos de salud física y mental - #ExclusivoMSP

Estrés: Detonante de trastornos de salud física y mental - #ExclusivoMSP

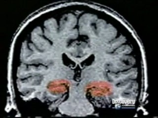
#MSPPsicología | Conoce cómo el #estrés puede activar el sistema neuroendocrino y ser precursor de múltiples afecciones de #saludmental y física. ¡El Dr. Ángel Alemán te lo explicará!br Comenta, comparte y visita www.revistamsp.combr #MSP: El lugar donde médicos, profesionales de la salud y pacientes pueden entrar.


User: Grupo Editorial Mundo

Views: 4

Uploaded: 2023-10-04

Duration: 09:16