⛔Niña MURIÓ por una Bacteria Come CEREBROS ‍♀️

⛔Niña MURIÓ por una Bacteria Come CEREBROS ‍♀️

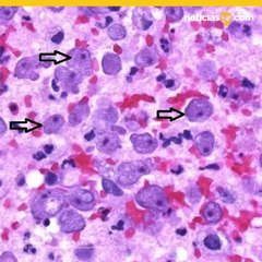
¡Impactante Revelación! Descubre la trágica historia de una niña que MURIÓ a causa de una bacteria come CEREBROS. Conmocionante relato que destaca la importancia de la seguridad en entornos acuáticos. ¡Entérate de los detalles ahora! #BacteriaCerebral #PrevenciónInfantil.


User: DE TODITO NEWS

Views: 6

Uploaded: 2023-12-01

Duration: 03:06

Your Page Title