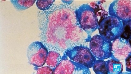
Sida : 39 millions de personnes vivent avec le VIH dans le monde

Sida : 39 millions de personnes vivent avec le VIH dans le monde

br Visitez notre site :br br Rejoignez nous sur Facebookbr br Suivez nous sur Twitterbr


User: FRANCE 24

Views: 157

Uploaded: 2024-03-23

Duration: 01:46

Your Page Title