Kanser hücrelerini yok eden mantar

Kanser hücrelerini yok eden mantar

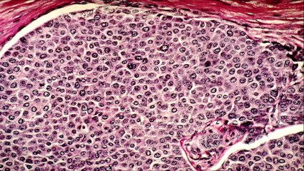
Trakya Üniversitesi'nden (TÜ) Doç. Dr. Gülşah Gedik, halk arasında 'sığır dili' ya da 'geyik mantarı' bilinen Hydnum Repandum mantarının, karaciğer kanserinden etkilenen hücreleri belirli dozda öldürdüğünü tespit ettiklerini belirtti.


User: Timeturk

Views: 821

Uploaded: 2024-12-21

Duration: 05:48

Your Page Title