Kars'ta İranlı yolcunun makatından uyuşturucu çıktı

Kars'ta İranlı yolcunun makatından uyuşturucu çıktı

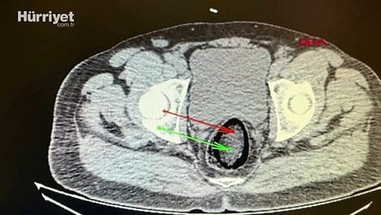
Kars'ta, jandarmanın durdurduğu yolcu otobüsünde hareketinden şüphelenilen İranlı 2 yolcudan 1'nin makatından diğerinin ise eşyaları arasından uyuşturucu çıktı. Kars'ın Digor İlçe İl Jandarma Komutanlığı ekipleri, Digor-Kars kara yolundaki uygulamada, yolcu otobüsünde arama yaptı.


User: ENSONHABER

Views: 1

Uploaded: 2025-01-31

Duration: 00:38