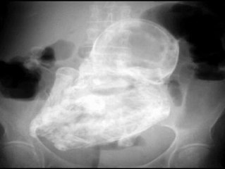
Una mujer brasileña con un feto calcificado desde hace 30 años muere en una operación

Una mujer brasileña con un feto calcificado desde hace 30 años muere en una operación


User: Diario Libre

Views: 3

Uploaded: 2025-02-23

Duration: 00:25