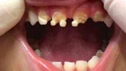
Soda Destroyed My Teeth! 😡🥤🦷 Now What?!

Soda Destroyed My Teeth! 😡🥤🦷 Now What?!

All product and company names shown in the video are trademarks or registered trademarks of their respective holders. Use of them does not imply any affiliation with or endorsement by them.


User: Poly Holy Yow

Views: 1

Uploaded: 2025-04-11

Duration: 00:29