İranlı yolcunun makatından uyuşturucu çıktı

İranlı yolcunun makatından uyuşturucu çıktı

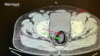
Kars'ta, polisin durdurduğu yolcu otobüsünde hareketinden şüphelenilen İran uyruklu F.H. adlı erkek yolcunun hastanede çekilen röntgeninde, makatında uyuşturucu tespit edildi. Uyuşturucu cerrahi operasyonla çıkarılırken, şüpheli tutuklandı.


User: HaberGlobal.com

Views: 242

Uploaded: 2025-04-11

Duration: 00:30