Actitud Saludable | Tendinitis de hombro: síntomas que no se deben ignorar

Actitud Saludable | Tendinitis de hombro: síntomas que no se deben ignorar

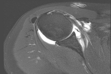
br En esta nueva emisión de tu programa Actitud Saludable, Anabell Estrada tendrá como invitada a la fisioterapeuta Danibel Goitia, con quien estará conversando acerca de los síntomas, tratamientos y causas de la tendinitis de hombro, una afección cuya atención no puede ser postergada y debe ser tratada con tiempo y especialistas certificados. br br br Síguenos: br br @conanabell br @anabellestradag br @actitudsaludabletv br br THREADS: @vtvcanal8 br MASTODON: @VTVCANAL8 br TELEGRAM: VTVCanal8 br Instagram: @VTVCanal8 br TIK TOK: @VTVC anal.8 br Facebook: VTVCanal8 br YouTube: La Noticia VTV br YouTube: Venezolana de Televisión br Dailymotion.


User: Venezolana de Televisión (VTV)

Views: 50

Uploaded: 2025-04-24

Duration: 19:47

Your Page Title