Stop Bleeding Gums Cure Bleedings Gum Heal Bleed Red Swollen

Stop Bleeding Gums Cure Bleedings Gum Heal Bleed Red Swollen

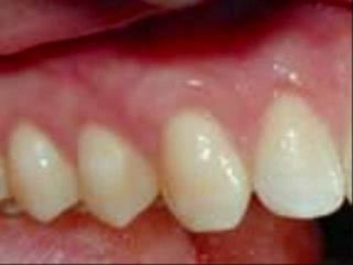
Stop Bleeding gum cure is desired because Stop bleeding gums are a sign that you may be developing a serious dental disease. You may not realize that sore, swollen, cure bleeding gums, tooth sensitivity, and bad breath are warning signs of gum disease – a serious infection that, left untreated, may lead to tooth loss. So that's a good reason for a bleeding gum cure. stop Bleeding gum cure is only part of the story as the bleeding is a symptom of a larger problem. Heal Bleeding gums are a symptom of gum disease. In the mildest form of gum disease called Bleeding Gums, the gums redden, swell and bleed easily.


User: mouthplus

Views: 2

Uploaded: 2010-02-27

Duration: 00:32

Your Page Title