Implantologie Ludwigshafen Dr. Susanne Axmann Zahnärztin

Implantologie Ludwigshafen Dr. Susanne Axmann Zahnärztin

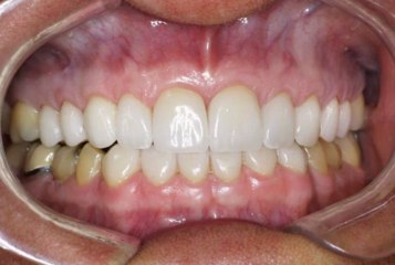
Dr. Susanne Axmann Zahnärztin in Ludwigshafen ist Ihre erste Wahl, wenn Sie nach Implantologie oder Parodontalbehandlungen suchen. Für mehr Informationen erreichen Sie uns unter der Telefonnummer 0621-626000 oder schauen Sie direkt vor Ort vorbei: Prinzregentenstr. 39, 67063 Ludwigshafen.


User: John Smith

Views: 88

Uploaded: 2011-01-01

Duration: 00:29