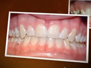
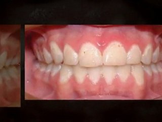
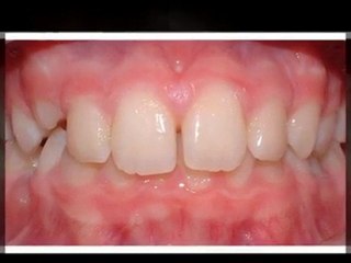
Greeley Invisalign

Greeley Invisalign

Your next step will be to head on over to to see about setting up a free exam with Dr. Kloberdanz and your Greeley Invisalign team.


User: Gary Kloberdanz

Views: 7

Uploaded: 2011-01-22

Duration: 01:00