Cosmetic Dentistry Treatments

Cosmetic Dentistry Treatments

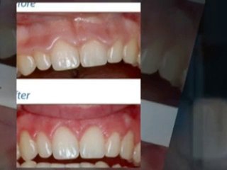
Here Are Some of thebr Cosmetic Dentistry Treatments


User: james eller

Views: 5

Uploaded: 2011-12-31

Duration: 01:43

Your Page Title