Cerebro y miopia para el futuro: A. Bechara (Lobulo frontal y adicciones)

Cerebro y miopia para el futuro: A. Bechara (Lobulo frontal y adicciones)

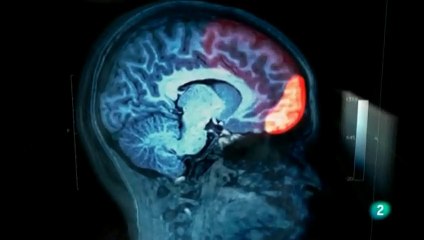
Varios son los modelos que se han aplicado para el fenómeno del uso compulsivo de drogas, pero desde el punto de vista de la neuropsicología dicho problema puede ser descrito como una condición asociada a la disfunción de mecanismos cerebrales que intervienen en la capacidad de tomar decisiones. Así, en los drogadictos, se considera que esta capacidad similar a la observada en los pacientes con lesiones de la corteza prefrontal ventromedial y orbitofrontal (CPVO), caracterizados por una marcada falta de memoria para las consecuencias a largo plazo de sus decisiones, y la imposibilidad de aprender de los errores repetidos. Estos pacientes tienden elegir la recompensa inmediata, a pesar de las consecuencias futuras negativas graves. Así, los individuos drogadictos comparten con pacientes con lesiones de la CPVO un cierto grado "de miopía" para el futuro.


User: RAUL ESPERT

Views: 35

Uploaded: 2012-04-10

Duration: 05:12

Your Page Title