Mañana 30 de mayo se conmemora el Día Mundial de la Esclerosis Múltiple

Mañana 30 de mayo se conmemora el Día Mundial de la Esclerosis Múltiple

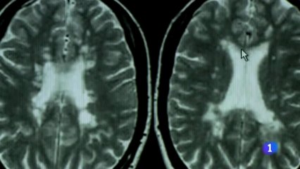
Redaccion, 29 de mayo (CERESTV.info)br br Este 30 de mayo se celebra el Día Mundial de la Esclerosis Múltiple, que busca sensibilizar a la población en general sobre esta enfermedad así como dar a conocer las novedades que existen en la actualidad para su tratamiento. br br © 2012 CERES TELEVISIÓN DIGITALbr [+info]: [e-mail]: noticias@cerestv.esbr Contacto Peticiones :br Teléf.


User: cerestv

Views: 91

Uploaded: 2012-05-28

Duration: 04:29

Your Page Title